图知网
搜索
首页
热门推荐
图片分类
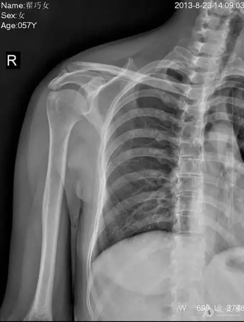
肩关节x片.这三张片子 能看出问题在哪里吗#肩关节摔伤#肩关 - 抖音
下载原图
相关图片
医影基础 | 肩关节x线解剖
完善核磁共振检查示:右侧肩关节肩袖区(冈上肌腱,肱二头肌长头
写美篇这是病人在医院拍的右肩关节x线片,相信好多人看不明白是怎么
遇到肩部外伤时肩关节ct有必要做吗
左肩x线片
右肩周炎求解
为你推荐
刘恺威欲送女儿去内地读书,并非因为忙,而是为二婚,杨幂心疼了_网友
8月10日:第五期《建筑分析图表现》
四十岁女性,长发可能不再适合你!试试这3款发型
膝关节半月板损伤拍张x光片就行了?
大天狗
小榜星访——杨九郎专访(存档)目前最喜欢的单人访谈_哔哩哔哩_bili
喜迎国庆 五星红旗飘起来
陶喆,太平盛世