图知网
搜索
首页
热门推荐
图片分类
口腔医学(医学高级):口腔颌面外科学考点巩固(题库版)
下载原图
相关图片
上牙列牙颌面照片
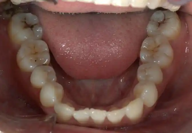
下牙列牙颌面照片
合作共进我院成为颞下颌关节及牙颌面畸形疾病多中心合作签约成员单位
根据不同牙颌面畸形选用各类矫治器,一般矫治是口腔正畸矫治中最多见
的颌骨,错位的牙齿及牙周支持组织发生变化,以利于牙颌面正常生长发育
牙颌面畸形及正颌外科手术简介
为你推荐
f(x) krystal 郑秀晶 安宰贤 情侣 画报
是拉丁女歌手夏奇拉(片中为夏奇羊配音)演唱的歌曲,为电影《疯狂动物
[9.9新]路易威登lv女士拼色经典老花花纹披肩未使用 - 拍卖
火影忍者漩涡鸣人九尾
告诉你跌打药酒的制法,作用与用途,有收藏价值
卡通马儿小马
真龙海韵细支
你们真的不想知道吗?大二后及研究生:校外宿舍 - 抖音