图知网
搜索
首页
热门推荐
图片分类
糖尿病患者腿粗还有这种好处?但最粗不要超过这个值!
下载原图
相关图片
大腿围度标准值对照表 附瘦腿教程 敲有用_瘦腿_健身_运动_肩宽_见人
你的大腿围度,真的标准吗?快来一起学习怎样练成超模腿吧
小腿围尺寸对照表
小腿36到31,你该拥有怎样的腿围98_运动健身_健身_小红书
根据以上的表,快看看下图光谷的美女们and你们自己,是不是标准腿吧
二尺四的裤子腿围是多少
为你推荐
李易峰日本归来,生图曝光引发热议,回国后全程表情___
又是为赵薇心动的一天##赵薇
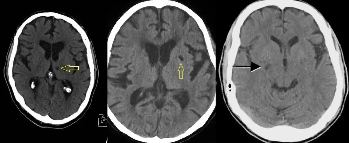
"腔隙性梗死"_脑梗塞_疾病介绍_介绍 - 好大夫在线
电影女演员周迅
"黑化影子" #神兵小将 #影子问天 #南宫问天 #黑暗 # - 抖音
46 个性潮牌logo行李箱贴纸防水旅行箱滑板吉他拉杆箱 自行车贴纸
道家太极阴阳鱼八卦图吊坠饰品挂件男女士转运祈福护身符平安生日礼物
bonetalegastertheme三分十五秒纯享版