图知网
搜索
首页
热门推荐
图片分类
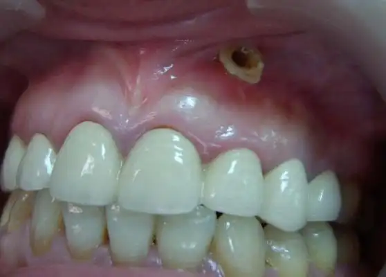
如何治疗?_牙龈癌_介绍_症状表现_治疗方式 - 好大夫在线
下载原图
相关图片
牙龈瘤
牙龈癌1例
牙龈癌的早期症状和图片以及引起牙龈癌的原因都在这里
牙床癌
牙龈瘤
牙龈癌早期症状图片(55)
为你推荐
在其他组被封了气死我了你们能不能让我感受一下信.
小鲜肉们都在背的包包,是什么呢?
女生理发 vs 男生理发! 67
江流千山东小舟从此终刘德华古装电影collection
正版神偷奶爸电影同款卡通小黄人毛绒玩具公仔布娃娃儿童玩偶抱枕
长相与双面龟极为相似的昆虫→球金龟 长相形似小时候动画片里面的
【黑暗荣耀】反派女二,够坏也够疯批,太对味了
创意手工:用纸壳diy酷炫高速小火车,开的飞快!