图知网
搜索
首页
热门推荐
图片分类
火眼金睛识别花样皮肤病
下载原图
相关图片
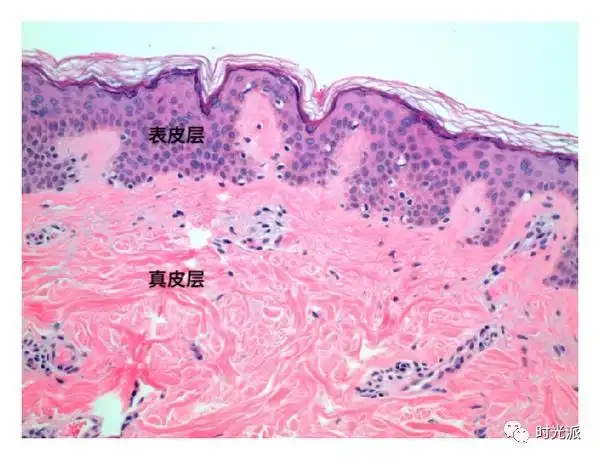
我们先来看个正常人的皮肤组织切片:皮下组织层我们就不必多说了,基本
3分钟皮肤病理系列-005 hhv1,2,3型感染
皮肤病理知识3ppt
3分钟皮肤病理系列-001 寻常疣
50个常见皮肤病的典型病理表现(图文版)
痘痘皮肤病理分析图
为你推荐
教你画魔杖要怎么去画
沈梦辰签名照
古风仙侠动画《诸天纪》场景设计概念稿-宗门篇_两点十分动漫-站酷
铿锵玫瑰简谱_谱友园地_中国曲谱网
西凤酒1964纪念版55vol凤香型白酒500ml单瓶装
张大千摹敦煌佛像
园林工程频道 园林绿化养护|园林工程 通过滴灌系统施肥,可以充分
幼儿园彩绘伞空白雨伞儿童绘画手工涂鸦diy手绘画画透明道具伞