图知网
搜索
首页
热门推荐
图片分类
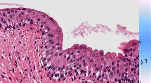
上皮组织显微镜观察图片
下载原图
相关图片
上皮组织怎么画
请判断图中1所示的是何种上皮组织?()
请判断2所指的是何结构?()
见谅~ 病理切片 香烟烟雾引起的刺激已显示会导致鳞状上皮化生,其中
组织学与胚胎学课件2上皮组织
组织学与胚胎学课件 上皮组织
为你推荐
前额大面积脱发,真的太影响形象了!
一句人呢,还有一个未接通的视频电话.在杭州临平"6·9"大火 - 抖音
十年火线,为爱穿越_《穿越火线》十周年应援说唱_17173八爪切克闹出品
正版新版全18卷山海经正版绘本全集无删减完整版山海经神兽彩图珍藏版
临摹帕洛斯
酒店多媒体信息发布系统 - 公司新闻 - 酒店智能化,酒店智能化综合解
美的空调遥控器怎么不能锁定啊 怎么98啊,小孩子爱拿着玩
简笔画彩色瓶子