图知网
搜索
首页
热门推荐
图片分类
清晨那一缕阳光
下载原图
相关图片
北马路小学"乐伴书香"——张锦熙《阳光》
胡汉章| 清晨的一缕阳光(主播:自励)_手机搜狐网
美好清晨一缕阳光愿所有的美好如约而至
渴望阳光的句子一缕阳光唯美句子简短
唯美晨光壁纸:清晨的第一缕阳光,迎来新的一天
迎接2019年 第一缕阳光
为你推荐
qq头像男生2022最新版潮流霸气帅气男生个性微信高清图片大全
男生黑灰色辫子
穿云箭
荣耀新三国哪个武将伤害最高输出最高的武将推荐
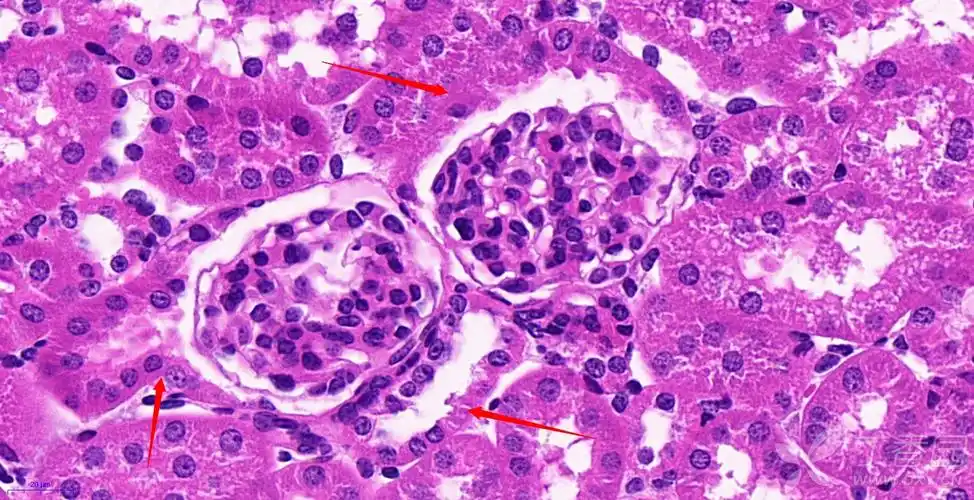
【求助】小鼠肾组织he染色,请教各位老师
14张向国旗敬礼的军人叔叔卡通简笔画大全
菜刀的手卡通插画png92667手绘线性风格厨房用品661113菜刀菜板切菜胡
4k高清动态壁纸 | 绝美动漫场景,希望能治愈你一整个夏天