图知网
搜索
首页
热门推荐
图片分类
肾组织切片
下载原图
相关图片
动,植物,细胞爬片等病理形态学方面科研实验服务,从组织石蜡包埋,切片
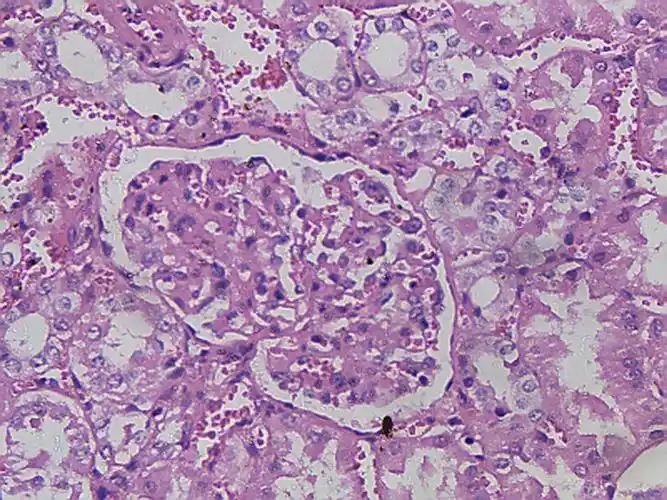
16mg/kg 剂量组的肾脏切片中,可以看到的病理特征包括:明显的肾间质炎
4mg/kg 剂量组的肾脏切片中,可以看到:部分肾间质炎性细胞浸润,部分肾
诚挚发问#病理切片 #病理报告 #病理
病理切片结果显示:部分肾脏出现肾间质炎性细胞浸润,远端肾小管扩张
肾脏切片
为你推荐
红色系列工作总结报告商务简约风通用动态ppt模板素材方案
网曝阆中金阆名都小区游泳池淹死一名老人
赵梦玥发文称脚踏两只船细节让网友炸锅卢本伟好惨一男的
电锯人壁纸
魅色性感低腰显美臀九分紧身裤gk26包臀显pp超柔美腿女打底裤
原意是"粉碎","破损";形容人快要"散架"的状态,衍伸为人筋疲力尽.
【图】哪款车的cd和6388的收音机一样大?_五菱之光论坛_汽车之家论坛
loading.