图知网
搜索
首页
热门推荐
图片分类
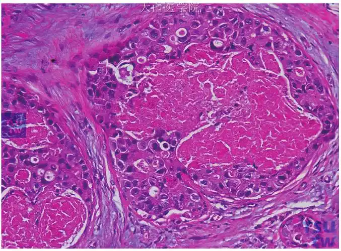
什么是乳腺原位癌和浸润癌
下载原图
相关图片
特别奉送系列之182什么是乳腺导管原位癌
什么是乳腺原位癌和浸润癌
乳腺导管原位癌是未扩散的癌那乳腺癌是如何扩散的
乳腺大汗腺型导管原位癌
高级别导管原位癌
乳腺导管原位癌病理图片
为你推荐
喜欢红玫瑰还是蓝玫瑰
iphone刘海壁纸|再多人的评论都比不上喜欢的人一个点赞
假发男宝宝短发中分可爱婴儿纹理烫帅气自然小男孩发型正太全头套
和平精英超萌系列小黄鸭重磅来袭看着这些你心动了吗
bigbang李胜利事件结束,韩厅长宣布其是清白的,如今他全身而退
菲利普·迪克
山西博物院鸮卣硅胶书签山西文创卡通创意古风纪念品文具礼品
小度音箱人小大金刚遥控万能家用1s声控pro智能音箱