图知网
搜索
首页
热门推荐
图片分类
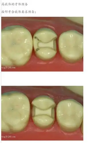
嵌体的设计预备和粘接
下载原图
相关图片
现在做的话 可能会更加熟练一些 但是 对于嵌体的设计与预备的
嵌体牙体预备方法
cad/cam瓷嵌体临床应用实操培训班|武汉站
嵌体牙体预备方法
谭建国刘明月一步一步做好嵌体高嵌体牙体预备
嵌体的操作流程
为你推荐
李洙赫图片合集.#苏荷#李洙赫 #李洙赫高清美图 - 抖音
陈百强《双星情歌》,泪残梦了烛影深,月明独照冷鸳枕!
大卫早早孕检测试纸试条验孕条早孕试纸100条1盒测孕条妊娠hcg条
企鹅家族英语
丑八怪 - 吉他谱 - 歌谱简谱大全
瓷器瓷和面盆洗碗盆老洗脸盆老民窑瓷盆酱釉盆民俗影视道具
演员安悦溪赴"心赏"之约 首次跨界主持表现亮眼
山地车:美利达公爵600 抢!爆款!专卖店一车难求!刚有!27.