图知网
搜索
首页
热门推荐
图片分类
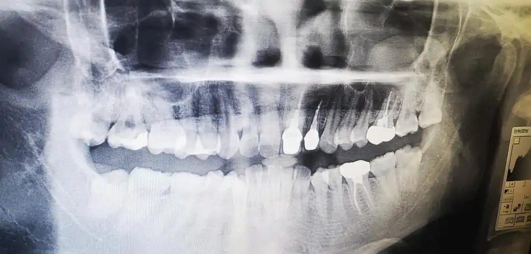
可以帮忙看看我的牙片吗
下载原图
相关图片
每个人都有必要去牙科拍牙片检查一下,说不定就有小惊喜
科普拍牙片到底会不会受到辐射
牙片欣赏
医生您好这是我的牙片请从您的专业经验来看我的上下牙主要是哪些问题
今天的牙片
给大家看看我的牙片
为你推荐
商标注册证
9s5赛季上分阵容推荐_lol云顶之弈手游_第一手游网
孙越-明星图——头像-话本小说网
王俊凯童年游泳照曝光,和现在差别超大,对比细节引热议
洛丽塔双马尾发型
1111东鹏饮料菊花茶250ml24盒装植物饮料传统制造
菩提花佛前开
猴子的跑步图片简笔画