图知网
搜索
首页
热门推荐
图片分类
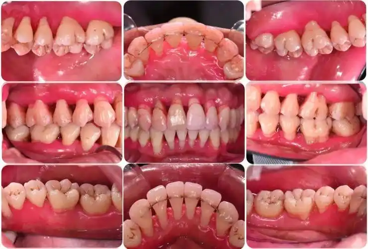
1例重度牙周炎的治疗
下载原图
相关图片
慢性牙周炎的典型图片
1例重度牙周炎的治疗
成人慢性牙周炎系统性治疗一例以菌斑控制为导向的牙周治疗2018病例展
慢性牙周炎-医联
慢性牙周炎女患者图片
爱康健牙周炎系统治疗多少钱 几千够吗
为你推荐
情侣图片皮卡丘
简短励志适合发朋友圈的早安问候语句 文艺有深度的早安图片
中国名人与科比合照谁矮谁尴尬网友最后一位竟然这么高
木材背景下盘子里的牛奶和奶酪
三国杀:界徐盛和界黄忠打起来,孰强孰弱?
使命召唤11外骨骼技能介绍
卡通猫
手绘风公司团建活动通知海报