图知网
搜索
首页
热门推荐
图片分类
钩织图解 #开衫 #单元花 #河合真弓
下载原图
相关图片
钩针——背心——开衫——缤纷小花——拼接——图解 - hello kitty
钩针图解 #零基础教学 #教程 # - 抖音
【转载】菠萝花钩衣 (附图解)
钩针拼花上衣图解
钩花衣
钩针图解 #套头衫 #单元花 #奥住玲子
为你推荐
26个英文字母花体字写法,也不要太花,类似于图片中的.
《和平精英》山经魅狐价格 山经魅狐皮肤一览
动画电影《白蛇:缘起》片尾曲《缘起》 周深
95古风新娘头像,霸气侧漏99
下面由舞蹈社全体成员带来舞蹈《年年有余》大家掌声欢迎.
咒术回战超可爱开黑头像(无水印)
加拿大航空公司波音boeing 777-300er 机型 - 航班座位图 - 中国航空
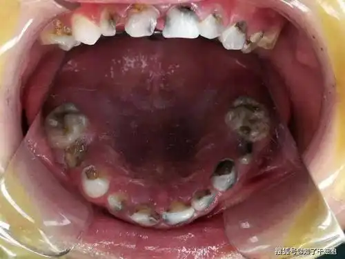
5岁男孩牙齿全坏最伤牙齿的居然不是糖而是