图知网
搜索
首页
热门推荐
图片分类
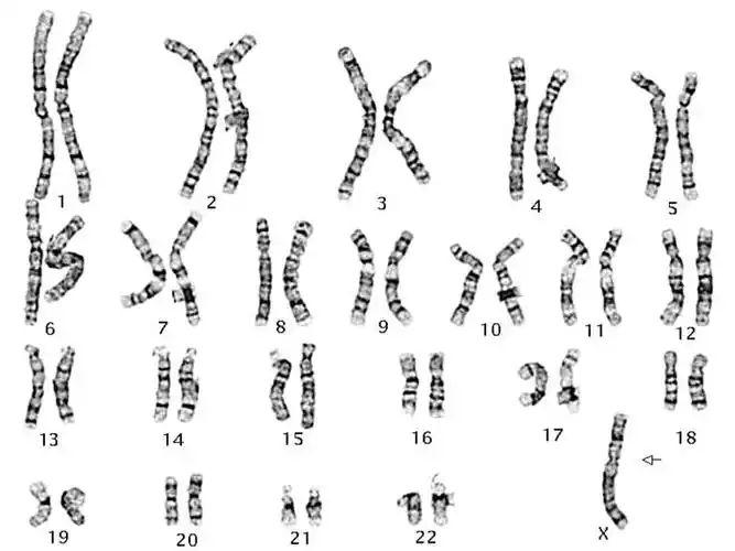
染色体畸变数目改变
下载原图
相关图片
染色体病
第2节染色体变异(定稿)详解.ppt
畸变染色体引起的疾病ppt
【健康科普】重视唐氏筛查,孕育健康宝宝_综合征_染色体_胎儿
染色体畸变
胎儿无下颌畸形看似简单实则诸多细节
为你推荐
可爱的表情包
实不相瞒,肖战的小飞侠里,也有纹身师,这也就是肖战为什么能接受纹身
为了角色可以剃寸头,男人味十足_吴亦凡_时候_造型
短发狼尾发型
沈梦辰3天瘦两斤,网友:芒果太会搞了|卷腹|腹肌|马甲线_新浪新闻
情侣设计矢量图__名片卡片_广告设计_矢量图库_昵图网nipic.com
古装女子png素材透明免抠图片-动植人物
dota2圣堂刺客精美图集