图知网
搜索
首页
热门推荐
图片分类
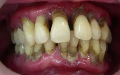
牙周炎图片
下载原图
相关图片
牙周炎发病与什么有关牙周炎的主要症状表现于何处
患有慢性牙周炎图片
牙周炎
病例库
牙龈炎
牙周炎引起的牙齿松动
为你推荐
《大鱼海棠》 湫单人向
动漫头像,咱们裸熊,白熊…_来自つ童话式丶的图片分享-堆糖
绝色佳人!全球顶级超模,来自中国,拥有黄金比例身材的艾尚真
jennie的奶酷甜美穿搭法则,不愧是"人间香奈儿",可盐可a还可甜
轻奢中式大象装饰画
女生长得特别丑怎么办?
甜蜜拥吻照让人上头,已经恋爱7年,近期完婚
popmart 【哈利波特与密室系列盲盒】