图知网
搜索
首页
热门推荐
图片分类
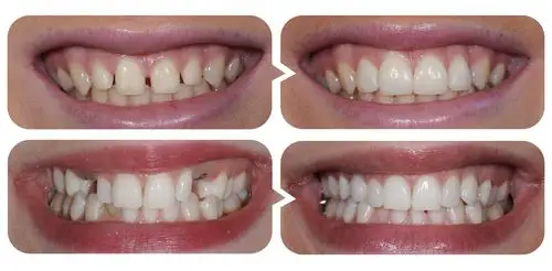
连冠全瓷牙效果图
下载原图
相关图片
全瓷牙和烤瓷牙的区别究竟在哪?为什么医生都推荐做全瓷牙?
二氧化锆全瓷牙
全瓷牙价格区别在哪里?解析牙冠便宜和贵的区别看这里!
全瓷冠 超薄贴面美学修复一例 - 好大夫在线
氧化锆全瓷牙价格表2021爱迪特二氧化锆全瓷牙多少钱
全瓷牙面贴案例分享_牙齿美白_日常护理_护理及注意事项 - 好大夫在线
为你推荐
情侣头像(十二)
杨超越#
黄刺玫
西方当代身体艺术谱系
mega喷火龙好用吗口袋妖怪复刻mega喷火龙性格技能搭配分析详解
脖子淋巴瘤早期图片_有来医生
南京南站极限换乘!
卡卡ac米兰生涯22个辉煌荣誉瞬间,顺祝巴西金童42周岁生日快乐