图知网
搜索
首页
热门推荐
图片分类
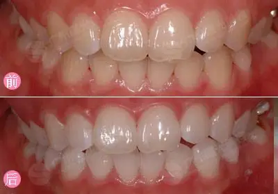
牙齿美白 冷光美白 治疗效果在线咨询
下载原图
相关图片
牙齿美白前后对比图
牙齿美白前后对比图
案例丨氟斑牙美加贴面美白修复案例一则
俄罗斯名模冷光美白牙齿前后对比(组图)
牙齿美白前后对比图
东莞南城固德口腔牙齿美白前后对比图
为你推荐
tfboys再次合体失败,毫无互动交流,王源颜值大不如前灵气尽失
"猪坚强"的漫画
hex预售火影忍者疾风传正版授权宇智波佐助18雕像第一形态须佐能乎
个性的微信网名大全.docx 6页
许巍的苏州奥体中心体育馆,买1380内场还是1080看台呀?
李北海书法作品欣赏
迪哥闯世界
广州增城,美丽乡村景色