图知网
搜索
首页
热门推荐
图片分类
搜了网为您找到2条镀锌矩形钢的相关品牌信息
下载原图
相关图片
青春本钢共青团本钢一届二次全委扩大会议召开
本钢
1. 包钢股份10. 本钢板材9. 南钢股份8.
5mn厚花纹钢板迈辉仓热轧板花纹板规格齐全远销东南亚
鞍钢集团,首钢集团,太原钢铁,山东钢铁,马钢集团,华菱钢铁,本钢集团等
t型钢报价
为你推荐
猴子笑到模糊表情包_斗图表情包_微信头像图片大全
杨丽萍版梅超风[《射雕英雄传》中梅超风扮演者]陈立品,张敏婷,马海伦
科幻画——未来校园 学生作品 有小修改
爱爱爱-方大同五线谱预览3-钢琴谱文件(五线谱,双手简谱,数字谱,midi
大狗笼大型犬室内
跳跳虎
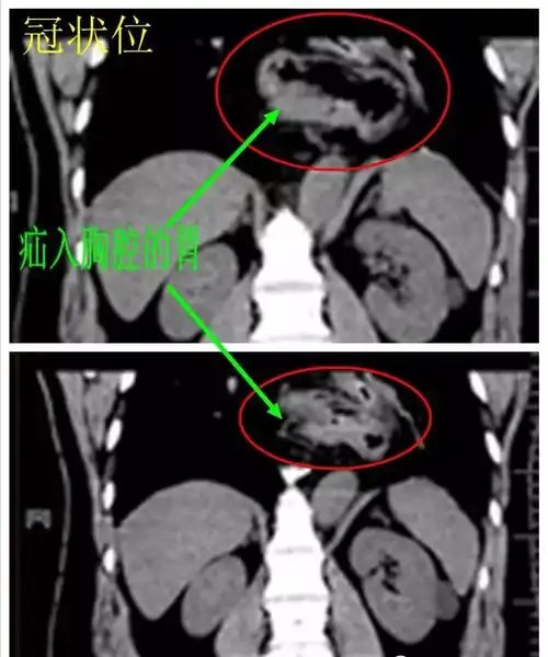
经典影像之食管裂孔疝 - 好大夫在线
木工锯片4/7/68/9/10/14/12/16寸铝合金角磨切割机电圆盘锯片 索瑞110