图知网
搜索
首页
热门推荐
图片分类
周三最新早上好图片大全问候语 唯美早安发朋友圈的心情说说语句
下载原图
相关图片
漂亮的早上好新版祝福图片大全早安问候祝福图片文字精选
漂亮早上好祝福语图片温馨 早上好问候配图片
四月份最新最温馨早上好的问候短信,暖心的微信早安问候语短句
今日最新早上好表情图片大全,真情问候,友谊永远!_生活_中老年_相册
春季清晨问候朋友的早安祝福语,微信早上好祝福图片表情
早上好图片文字
为你推荐
人物肖像 #日常练习 #自学画画 #素描人物 #作品分享 - 抖音
coach 蔻驰logo
卡知世有情况搞怪soogifsoogif出品gif动图_动态图_表情包下载_soogif
『邱淑贞』电影群像混剪|烈女|性感女神|人间尤物_哔哩哔哩_bilibili
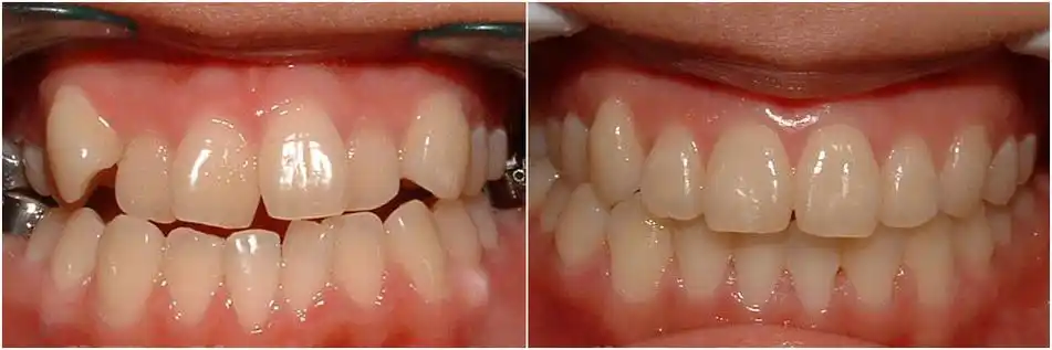
牙齿矫正要拔几颗牙顾冬辉院长为您解答
简单的心折纸 步骤图解图片1
铅笔画 #临摹 #海贼王 - 抖音
突然get到她的颜了沈月这造型好绝特别是公主切