图知网
搜索
首页
热门推荐
图片分类
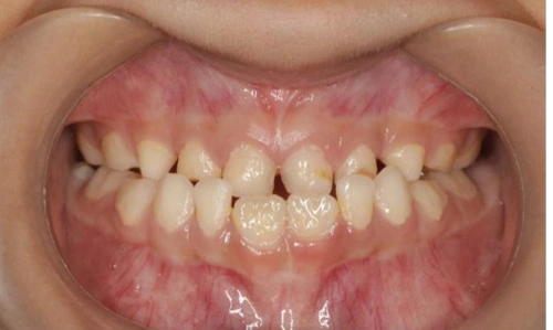
家长必看:孩子15岁前必须处理的11种畸形牙齿
下载原图
相关图片
换牙期如何避免牙齿畸形?孩子换牙期如何避免出现牙齿 - 抖音
小孩子牙齿不齐(错颌畸形)怎么办 - 知乎
家人,孩子,亲友,同事,你身边的这些人有受到牙齿畸形的困扰吗?
牙齿错颌畸形影响孩子的一生,请关注儿童口腔健康,早发现早治疗 - 抖
畸形的早期矫治有助于儿童:(1)上,下颌骨更协调的生长;(2)避免因牙齿
这小孩牙齿畸形如何处理见图
为你推荐
姜妍:错爱妈宝男,遭男友妈嫌弃,干妈宋丹丹拿她当亲闺女
央视春晚小品"老面孔"只剩下4人,沈腾马丽"双贾"成中流砥柱
火影忍者#木叶村
4k「luxury home」迈阿密现代滨水豪宅~1645 cleveland road, miami
桂圆红枣图片
游泳的好处你知道多少
海北州电梯石材门套生产厂家|纯天然石材电梯门套线|套窗套价格报价
【已拆盒确认】包邮童心大玩家盲盒公仔人偶手办娃娃桌面摆件男女