图知网
搜索
首页
热门推荐
图片分类
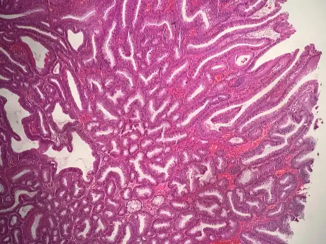
降结肠管状绒毛状腺瘤早期癌变讨论2017.09.
下载原图
相关图片
3,管状-绒毛状腺瘤占腺瘤性息肉的10%左右,管状结构和绒毛状结构所占
结肠绒毛-管状腺瘤
直肠绒毛状腺瘤
绒毛管状腺瘤或者tsa?
病理结果是绒毛状管状腺瘤?这是癌症吗?
经典永流传-pit pattern分类,测一测你能否正确诊断?
为你推荐
当红时"下嫁"黄贯中,婚后遭公公"动手",朱茵到底图什么?
女明星光脚丫子 谁最可爱呢?
突然发现早期的刘嘉玲和那英真的有点傻傻分不清了
经典英文句子带翻译.docx 5页
抖音视频后面背景图 抖音视频中间加照片
脚底跖疣早期图片52
「头像」爆音少女川崎来梦,谜一般的机车女孩
商业画布思维导图