图知网
搜索
首页
热门推荐
图片分类
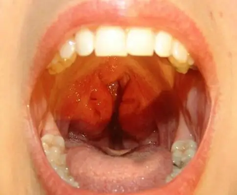
扁桃体发炎自愈要几天 嗓子咽唾沫疼像刀割一样
下载原图
相关图片
喉咙正常不发炎应该是什么样的,让我们一起看一看吧
嗓子疼原来是因为
请问大家,喉咙位置经常发炎,有白色的溃疡,是怎么回事?
扁桃体炎
喉咙发炎图片 (16)_有来医生
我的咽喉正常吗?
为你推荐
美式理发##男士渐变发型
晚安女孩子温馨句子大全怎么和女生说晚安
汽车门专用隔音密封条胶条门缝发动机降噪车用静音全车门边隔音条中控
obff轻奢包包女2021新款潮时尚百搭网红女包菱格酒神包单肩链条斜挎包
洛阳地区的特色,丰盛的洛阳水席,这道菜你知道是怎么吃的吗
中温玻璃鳞片胶泥
秦川书法 粗犷 > 疯狂着 ,细腻着|平面|字体/字形|秦川_字游字哉
从巴西里约热内卢的古拉尼亚德科帕卡巴纳俯瞰城市和山脉