图知网
搜索
首页
热门推荐
图片分类
爆炸的切尔诺贝利核电站后果到底有多严重核辐射有多厉害
下载原图
相关图片
辐射高清壁纸
辐射高清壁纸800x600分辨率查看
爆炸的切尔诺贝利核电站后果到底有多严重核辐射有多厉害
核爆炸壁纸壁纸
爆炸的切尔诺贝利核电站后果到底有多严重核辐射有多厉害
核辐射后果严重:美国男子喝下1400杯镭水,死无全尸,只能放铅棺
为你推荐
韩式背头造型 酷帅感型男必不可少.两侧鬓角保留3cm 进行服 - 抖音
看看朱玲玲就知道了|婚姻|霍震霆|霍启刚|罗康瑞|郭晶晶_网易订阅
香港乐坛5位重量级女歌手,认识3位以上的,绝对称得上是前辈!
从后座看前方
红旗医院检验科细菌室
清末民初广州城,长堤码头西关豪宅
适合有基础孩子进行绘画临摹背景简单不复杂9315临摹禁止商用
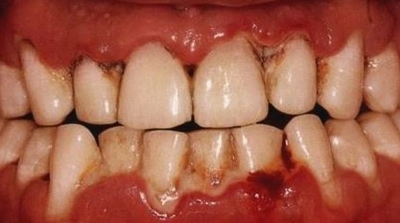
重度牙周炎