图知网
搜索
首页
热门推荐
图片分类
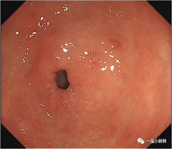
白光内镜(远景):胃窦散在片状糜烂
下载原图
相关图片
早期胃窦ca一例,第一张图片是首次胃镜检查,病灶比较隐匿,取 - 抖音
胃癌确诊多半晚期,一旦身上有这些症状,十有八九是胃癌
胃窦早期癌esd
胃窦早期癌esd
病理:(胃窦)浅表性胃炎伴糜烂,局灶腺体呈高级别上皮内瘤变.
胃窦部癌前病变一例诊治分享
为你推荐
王丽坤浪漫婚纱写真图片 气质清新笑靥迷人_明星_美桌网
男生天生自然卷适合什么发
李沁 穿旗袍真的有种大家闺秀的气质,她扮演的 林徽因 真的惊艳
手相图解:几个罕见的纹理,容易发福发贵,珠玉满仓!
紫色格纹高级感炸街小西装外套女士春秋季一粒扣气质休闲西服上衣
女生性商务半身职业形象照站姿个人艺术写真影楼放大样片客照d627
【王俊凯】180922生日会《醒着》 || 王俊凯全国地方站联盟
p站 插画 q版 康娜卡姆依 小林さんちのカンナちゃん id=61335610 き