图知网
搜索
首页
热门推荐
图片分类
基底节区及丘脑对称性病变mri诊断
下载原图
相关图片
诊断意见:(1)双侧丘脑,基底节区腔隙性脑梗塞;(2)双侧侧脑室旁低密度
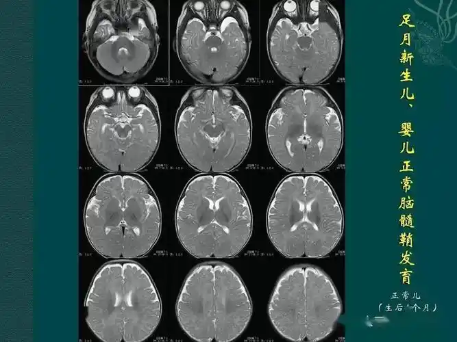
足月儿及婴儿神经系统发育mri
头颅mri入门系列之认识序列3
高清头颅mri断层图谱中英对照案前必备
头颅mri矢状位t1相,b.
解剖颅脑丨高清头颅mri断层解剖图谱
为你推荐
十月送什么花能给白羊座带来好运?
中国乐器图片和名称供认识(转之网络)
卫亮爱画画的子衿q版情侣头像结婚礼真人照片转卡通头像漫画设计约稿
耳墙式桥台
【九辫】一场精心策划的艳遇 调酒师辫x顾客郎 假车警告 短小一发
蓓蕾队课我知道第三讲知道我们的标志红领巾
《太空堡垒》新桌游2018年上市
微笑的史努比头像