图知网
搜索
首页
热门推荐
图片分类
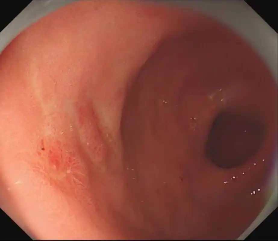
最近做了胃镜检查,结果如下,请问严重么?
下载原图
相关图片
胃镜
这是上次做的胃镜.
不要得胃病啊更新胃镜胆小者慎入
简单记录第一次做胃镜
求消化科医生赐教胃病的治疗,大谢(附胃镜图).
胃镜下就可以治愈胃癌?——早期胃癌的微创治疗
为你推荐
男生小辫子发型后脑勺引人注意显帅气俏皮魅力
回顾歌手周笔畅:三段感情都失败,38岁仍未婚,父母疯狂催婚
池塘里的青蛙荷叶清新摄影高清桌面壁纸图片大全
冰菓
消防车图片 简单的消防车画法
胃癌ppt
回车桌面>电脑壁纸>汽车>速度之王-兰博基尼超级跑车>
水中运动关节炎运动治疗新选择