图知网
搜索
首页
热门推荐
图片分类
图1:胸片示一个1.3厘米的结节,箭头所示).
下载原图
相关图片
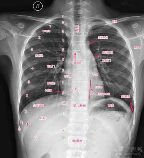
超详细胸片教学不信你还学不会
胸片可见多发结节性浸润
90的受检者体检都会被胸片这个伪影吓到是肺结节
拍胸片能看肺结节么?
女性,66岁,体检胸片发现左下肺结节,行ct检查如下
粟粒性肺结核胸片ct内镜
为你推荐
抑郁头像女伤感动漫 - 头像照片动漫 - 实验室设备网
夏天旗袍外搭网纱外披女士搭配旗袍开衫披肩雪纺开杉中长款印花防嗮衣
荧光绿上衣下搭配 荧光色衣服搭配-ship188.com
4岁女孩玩具送什么好
真理之下 #伊索卡尔 #第五人格 #入殓师 #卡尔 好可爱 - 抖音
适用于大众奥迪 汽车专供 高压燃油泵 06j127025e-阿里巴巴
中那些历时多年依然潇洒活跃的老怪兽们|奥特曼|巴尔坦|杰顿_新浪新闻
卸货工昌平区天通苑搬家工人搬运力工北京通州区搬运工服务厂房搬迁