图知网
搜索
首页
热门推荐
图片分类
男,30岁,27岁逐渐出现头皮上呈纵向条索状凸起,全头都是,中间更明显
下载原图
相关图片
注意这种胸腹壁条索状结构可能与乳腺癌有关
精原细胞瘤,示肿瘤细胞排列成条索状
基底细胞呈条索状向真皮延伸,条索多数由2层细胞组成,胞核大,嗜碱性
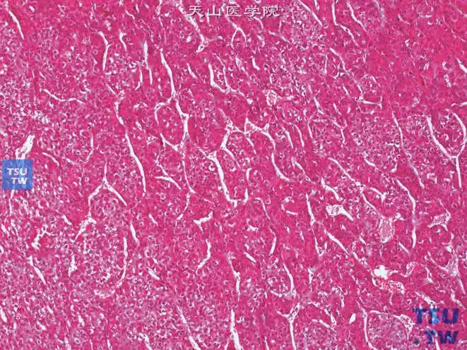
肾上腺区肝细胞性肝癌(原发性),示瘤细胞呈条索状排列,宽度不一.
可有实性,条索状结构
忽视小小静脉炎,亦可造成大后果,您是否可知呢?
为你推荐
《灵域》这四大美女只能选择一个,你会选谁?
> || 更新时间:2015-03-16 颜色分 粉色 关键词: 纯色壁纸 简约 纯色
金字塔主题
分等边三角形
今日爆点保定某售楼部被贴封条在这里买房的可怎么办
适用于土质情况 较好,地下水量 不大的基坑排水 普通明沟与集水井排水
颜艺神剧,高能来啦,碧蓝之海
有没有玩剑三的 求花萝破虏套各角度游戏截图 ……请看好~破虏 破虏