图知网
搜索
首页
热门推荐
图片分类
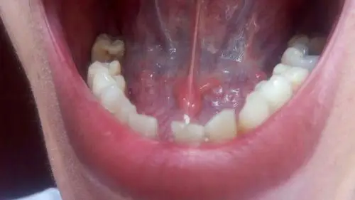
最近两天,感觉舌头下面很不舒服,对着镜子照了以后,发现舌头下面有两
下载原图
相关图片
我的舌头下面长了一个奇怪的东西,又或许是口腔溃疡,好痛啊,说话都痛
口腔溃疡长在舌头下面,不是舌背,一个星期了,发红有白尖,越长越大也不
孩子水痘第三天舌头下面起了个这白色东西,是什么?
刘刘 的想法: 舌头下面有个泡 一个月了 谁知道是怎么回事 - 知乎
口腔舌头下面长了好多的小水泡
儿童口腔问题?
为你推荐
景甜0721生日快乐
白菜根部发光,白天阳光下蔫了
白百何
26个大小写字母书写练习
iphone壁纸 萌物 可爱 背景 高清桌面 宽屏 韩系 女孩
可爱的快乐小女孩在户外的意大利城市.
抽象不锈钢龙雕塑 龙标志雕塑加工厂
跟着老司机选阵容就是稳_女神联盟2_九游论坛