图知网
搜索
首页
热门推荐
图片分类
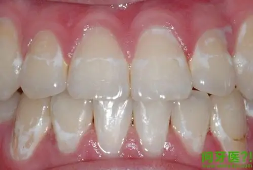
渗透树脂治疗正畸后白垩斑一例
下载原图
相关图片
釉质内形成大量的微孔样结构,外观呈无光泽的白垩色
宝宝牙齿上有白点是怎么回事是蛀牙吗
氟斑牙轻度的时候没有牙齿形态的变化,有意思的是如果氟斑的白垩色
科普正畸时牙齿出现白斑是怎么回事
技师把白垩色加在釉质上,感觉太多了太假了,而且患者希望牙色能正常
牙齿上有白斑怎么回事
为你推荐
重庆文化特色 -生活知识库-动动脑
机械哥斯拉的简笔画
旺达与幻视:第七集隐藏彩蛋大解析,幕后黑手其实不是女巫阿加莎
所谓法令纹,是指从鼻翼两侧延伸向嘴角的两条对称的面部纹路.
李苦禅花鸟纸本设色立轴
国乐艺术家方锦龙:身有侠气,想做音乐界的李小龙_节目_山东_文化
魔道祖师薛洋cos
典韦q版皮肤