图知网
搜索
首页
热门推荐
图片分类
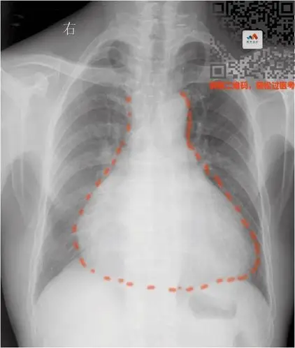
靴型心
下载原图
相关图片
沸腾烧瓶与心的图标在白色的背景
烧瓶爱心婚礼抽象平面颜色图标模板
垒固高硼硅鸡心瓶梨形烧瓶10/25/50/100/250/500ml14#19#24
要么是心脏本身增大(心包积液—烧瓶心)要么是心包里面灌了水普大型
平底烧瓶批发,圆底烧瓶批发,规格齐全欢迎选购!
三爱思梨形烧瓶100ml29鸡心瓶高硼硅加厚耐高温a01825
为你推荐
龚俊||cosmo花絮!会动的肌肉最好看!
赞!巩俐受邀出席中法文化晚宴,身为法国嘉宾却坚持用中文发言
赵丽颖有翡##王一博有翡
好事成双 双色幻影 劳斯莱斯旗舰车型升级黄金版 - 抖音
斗罗大陆唐三新造型壁纸,唐三霸气图片
ins白底黑字手写优质背景图_文字图片_我要个性网
十二生肖年龄对照表
首页 自然与风景 夏天