图知网
搜索
首页
热门推荐
图片分类
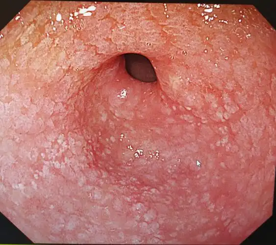
胃窦炎是否等于胃炎胃窦炎是什么哪些生活习惯会引发胃窦炎
下载原图
相关图片
白光图,见胃窦弥漫白色化生样改变该图片可能引起不适继续查看电子
胃窦炎
树枝状血管显露,黏膜苍白及萎缩边界更明显,多以幽门胃窦部为中心
内镜读图,等你诊断(001):中年女性,上腹痛4天,胃窦隆起你考虑啥?
浅表性胃炎是怎么造成的
胃炎
为你推荐
王凯老干部上身严肃脸叉手抱胸 和助理"指点江山"再现靖王霸气
孙菲菲 《重案六组》第二部里的田蕊
京剧猫 墨邪
小龙虾
18k金镶嵌 满色阳绿貔貅翡翠戒指
几款洋酒logo
都是演林黛玉把陈晓旭和陶慧敏放在一起对比差距一目了然
蓝思追蓝景仪