Warning: session_start(): open(/tmp/sess_bnb74f6d90lkcm3qtet0renpn2, O_RDWR) failed: No space left on device (28) in /www/wwwroot/www.tuzhiw.com/config.php on line 13

Warning: session_start(): Failed to read session data: files (path: ) in /www/wwwroot/www.tuzhiw.com/config.php on line 13
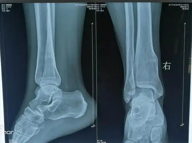
看看这个胫腓骨远端开放性粉碎性骨折治疗 - 图知网

看看这个胫腓骨远端开放性粉碎性骨折治疗

相关图片

为你推荐

李敏镐与小9岁女友恋情曝光拒不承认网友不是第一次了

美容院祛痘必备78海绵骨针真的绝了

吉林现货包邮微曦水果玉米米开袋即东北种植玉米

货轮尾部

汇仁肾宝片0.7g*9片*14板(盒装)价格及说明书-功效与作用-亮健好药

led电子显示屏使用寿命有多久?

广场简笔画

树模式,手动绘制树花纹矢量


Warning: file_put_contents(/www/wwwroot/www.tuzhiw.com/cache/image/23d4bf1f031822a894f7cc118aa7a3c8.html): Failed to open stream: No space left on device in /www/wwwroot/www.tuzhiw.com/config.php on line 196