图知网
搜索
首页
热门推荐
图片分类
中国物业管理协会副会长兼秘书长王鹏
下载原图
相关图片
【嘉宾观点】中国女企业家协会常务副会长,秘书长李平:弘扬企业家精神
副会长兼秘书长于士和发表讲话
河南省酒业协会副会长兼秘书长蒋辉
我司执行董事当选为福州大学青创会副会长兼秘书长
流动党员初心故事:总商会常务副会长兼秘书长张志雄——先锋,是光荣的
中国木材与木制品流通协会副会长兼秘书长李佳峰 致辞
为你推荐
原创王俊凯晒自拍腿毛抢镜大热天穿毛衣看到上面的字瞬间懂了
时代少年团出圈神级顶胯n0来了好香我不仅扭还亲自唱bgm
头像|素雅简洁 #二次元新鲜事
高ps艺术字体-高ps字体设计效果-千库网
一世烟简谱_点燃一根烟简谱
啊啊啊我死了长发善逸太美了偷走
中国电信江苏电信本地普通充值卡苏州万能卡
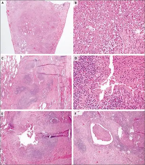
图3. 肺活检标本