图知网
搜索
首页
热门推荐
图片分类
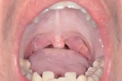
【求助】口腔黏膜病变 [病例帖]
下载原图
相关图片
口腔黏膜病分类,看看你知道多少?
化疗出现口腔粘膜炎把控住这几个要点轻松防治
疫情时期,跨过"内心的拐点",为您的口腔黏膜保驾护航!
看一下患者颊粘膜 - 口腔医学专业讨论版 - 爱爱医医学论坛
什么是口腔黏膜下纤维化
咀嚼槟榔相关口腔黏膜疾病的诊治吴颖芳博士
为你推荐
手绘王俊凯
无限回购的抗老眼霜赫莲娜绷带眼霜
22cm西楚霸王项羽武器霸王枪合金兵器模型摆件摆饰玩具cosplay
水彩笔画《放学了》
描写失望动作人物的句子通过动作描写失望的句子
薯条简笔画彩色的薯条简笔画步骤图片
"世上没有完美的谎言" #王者荣耀 - 抖音
太极八卦阵简笔画