图知网
搜索
首页
热门推荐
图片分类
大家看看吸烟者的肺是这样的! - 好大夫在线
下载原图
相关图片
吸烟肺.jpg
首先会影响到我们的肺部,那些经常吸烟的人还有可能会导致身体的免疫
吸烟的肺部变化 吸烟后 吸烟前 健康肺 音 吸烟肺末期 吸烟 - 抖音
===抽烟的肺,就是这样的
求一张吸烟者的肺的高清大图
长期吸烟的人肺部会发生哪些变化?
为你推荐
丸子头极简的漂亮的女生头像-美女壁纸 - 壁纸家
冰阳桶装水灌装现场区成品配送区磐瑞山纯净水冰阳桶装水全方位打造
盗墓笔记-瓶邪-张起灵吴邪(幼)
观《如何培养一个孝敬父母的孩子 》 写美篇一个不孝顺父母的人,缺乏
【纪实】刘雪华的故事 琼瑶剧女王很搞笑
江西上犹五指峰国家森林公园细叶青冈
3d秘密通道1
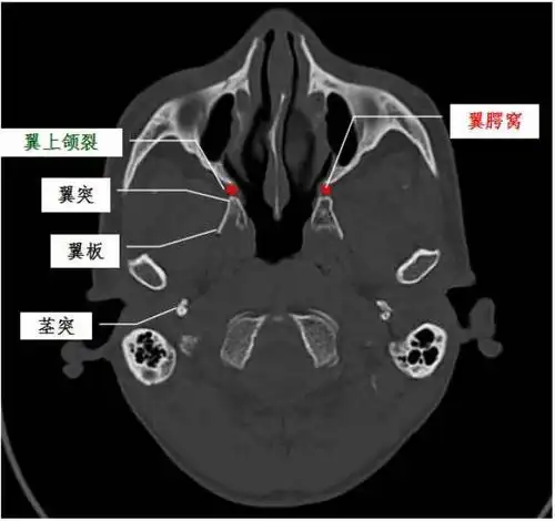
下:翼腭管---腭大,小孔---口腔外:翼上颌裂---颞下窝内:蝶腭孔---鼻腔