图知网
搜索
首页
热门推荐
图片分类
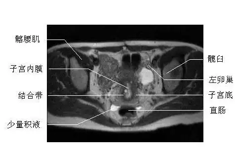
盆腔mri断层解剖你掌握了吗
下载原图
相关图片
盆腔mri断层解剖,你学会了吗?_影像诊断中心_微信_华夏
子宫的磁共振图像
骨盆肌肉mri断层解剖
女性盆腔疾病的mri诊断
女性盆腔横断面mri图片
子宫内膜癌mri影像表现pptppt
为你推荐
柳智敏彩底证件照##柳智敏证件照好美
战国四大名将之首大秦战神武安君白起到底杀了多少人_凤凰网历史_凤凰
手绘可爱卡通动物萌宠小鸡头像图片
水彩的红苹果图片-水彩的红苹果素材-水彩的红苹果插画-摄图新视界
灌肠注射器550毫升特大号大容量针筒注射器机油大针管喂食冲洗灌肠打
再见金陵路1号你好新南京市中医院
杨氏素荷 春兰荷瓣素花.
年产值逾1500万元金银嘴村一年要做500万把蒲扇