图知网
搜索
首页
热门推荐
图片分类
脸肿是怎么回事 脸肿了一般几天消肿-起航号
下载原图
相关图片
智齿变废为宝.上半口的照片,我就不放了下半口:已经整齐的下 - 抖音
为什么牙医建议尽量不拔智齿?不疼可以不拔吗?-口腔医院新闻-398口腔
【图】超声骨刀在智齿拔除中的应用 -口腔科-医学名词-39疾病百科
原来"拔智齿"也是有最佳年龄的?医生提醒:这6类人谨慎拔智齿_患者_进
医生一定要让拔智齿的真相是什么?_手机搜狐网
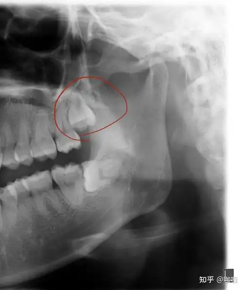
在杭口拔一颗普通智齿 - 知乎
为你推荐
幼儿简笔画初学者 简笔画图片大全-普车都
中长发搭配侧颜八字刘海真的绝美了
成勋
月光-德彪西钢琴谱-环球钢琴网
李信头像
早川秋 1/7手办全高约为28.8厘米,宽25.9厘米.
大美女于明加,性感迷人,丰腴唯美,多彩多姿,女人味十
错换人生28年中如果郭威远离养母杜新枝就是白眼狼吗