图知网
搜索
首页
热门推荐
图片分类
玩一晚上的影子游戏,也不会显得我多小清新.
下载原图
相关图片
夜晚 影子
路灯下的影子…. 夜晚的街头,微风轻轻吹过,一丝凉凉的,也 - 抖音
在夜晚的灯光下,影子的轮廓显得格外鲜明. - 抖音
夜太深,影子越拉越长
海外直订shadows in the night 夜晚的影子
阴影,人,男子,女人,黑暗,晚上,街道
为你推荐
奔跑吧9:杨颖摘假发片后,她真实发量藏不住,蔡徐坤看不下去了
慵懒卷发超显气质的港风复古法式浪漫卷发
很多人都说正装和大叔更般配,你们觉得呢?
龙年春节,南海超10场烟花汇演,准备好了!_活动_周边_
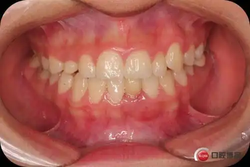
辅助弓矫治一例尖牙错位
来自韩国的顶级女星,而她几乎都是以长发的形象示人,很少看见她留短发
走小巷一个悲伤的人独自走在夜雾弥漫的公园里的小巷里.后视图照片
全家福怎么画5人 全家福怎么画5人简笔画