图知网
搜索
首页
热门推荐
图片分类
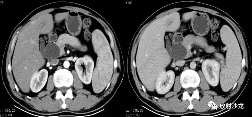
常见胆囊疾病ctmr诊断征象分析 郝金钢
下载原图
相关图片
【讨论】胆囊 是穿孔?还是憩室?
胆囊憩室?
【讨论】探讨--胆囊憩室与罗-阿氏窦 之区别 (千万别沉底)
超声诊断胆囊憩室并胆汁淤积1例
病例解析 | 胆系先天性疾病-medsci.cn
图文医学影像征象集萃腹部及消化道一
为你推荐
麻辣变形计第一集剧情是什么?
贵阳市观山湖区没有精华园,只有个金华园在石标路东侧,市行政中心旁边
江珊瘦出了瓜子脸穿条纹t恤配丸子头年轻10岁不止
52岁朱茵现状住深山小屋开97年破车活成了娱乐圈的笑柄
轻机抢m249大菠萝手自一体抛壳软弹枪儿童电动连发轻机枪男孩玩具枪手
机械臂(六自由度)-爱企查
2019年版第五套人民币来了你知道有哪些区别吗
洛米唯娅女装店铺展示