图知网
搜索
首页
热门推荐
图片分类
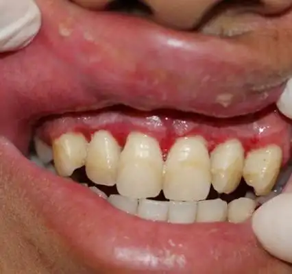
牙周炎症状图片及治疗?
下载原图
相关图片
牙周炎是一种常见口腔疾病,由于牙周炎早期的症状不明显,常常被人忽略
新疆牙龈炎医院_新疆治疗牙龈炎哪家医院好_新疆治疗牙龈炎最好的医院
牙周炎图片_牙周炎症状表现图片大全_有来医生
牙周炎 - 好大夫在线
牙周炎是侵犯牙龈和牙周组织的一种慢性炎症疾病,在口腔疾病中属高发
牙周炎怎么治
为你推荐
50多岁还没有嫁人的7位女明星,每一位都是盛世美颜
郑秀晶 黄裙长发气质出众
君临天下
男生脚长的好看是什么样的体验? - 知乎
花胶礼盒盒装250g送礼高档25头鳕鱼鱼胶孕妇花胶
公主也遭遇丧偶式育娃这老公还留着过年吗她的第三位驸马登场
同爱健身的兄弟俩小狼狗vs小奶狗,谁才是哥哥姐姐们的心头爱?
2021年犯太岁的五大生肖整体运势情况