图知网
搜索
首页
热门推荐
图片分类
《巨蟒惊魂》高清在线观看-6080电影家园
下载原图
相关图片
古装神话电影《封神榜·妖灭》获得"年度经典改编网络电影"大奖,电影
《变异狂蟒》今日上线爱奇艺,惊险上演蛇口逃生
《变异巨蟒》上映,真实版长蛇仙娶妻传说,有点虎头蛇尾的感觉
《变异狂蟒》今日上线 惊险上演蛇口逃生
优酷免费电影榜第一的-大蛇-充满乡土气息的中国版狂蟒之灾
巨蟒惊魂
为你推荐
黑白头像女生冷酷背影
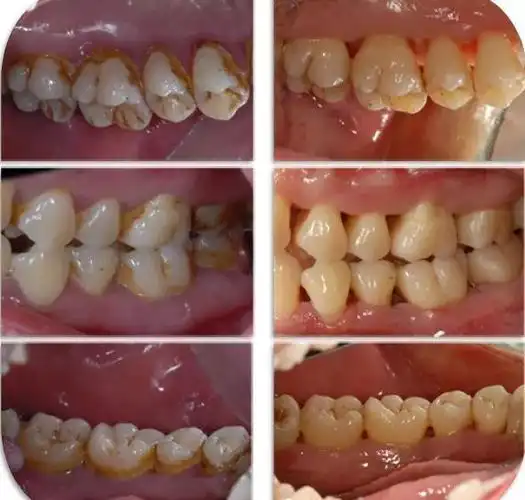
成人慢性牙周炎系统性治疗一例以菌斑控制为导向的牙周治疗2018病例展
大美-棋盘乡六村
【魔兽怀旧服】lm专属自杀神器 辛玛洛水晶 58无疤者水晶t 附任务流程
塔罗牌中的至理名言:孤独去远行 是为了能有更加强大的力量把生活抱紧
二次元 #vtuber #凑阿库娅 #hololive - 抖音
数一数图形个数
锡曼尘搞笑眼镜khan同款超小框男墨镜潮女网红款个性街拍 可汗潮流