图知网
搜索
首页
热门推荐
图片分类
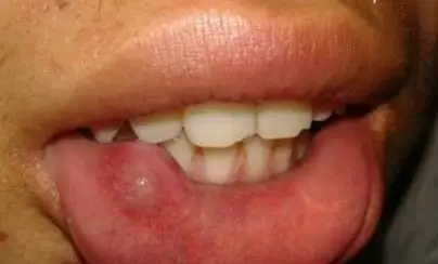
口腔囊肿 (24)_有来医生
下载原图
相关图片
楼主踏青放牛2014-06-07 04:04:12粘液腺囊肿是口腔常见病,其表现为
黏液腺囊肿,患者主要表现为口腔黏膜下浅蓝紫色的半透明小疱,囊 - 抖
推荐回答 病情分析: 你好,如果囊肿疼痛症状比较重,需要行药物止痛
楼主踏青放牛2014-06-07 04:04:12粘液腺囊肿是口腔常见病,其表现为
舌下腺囊肿图片_舌下腺囊肿症状表现图片大全_有来医生
去了一个小门诊看医生也不敢确定是什么东西,叫去大医院口腔科看一下
为你推荐
当草根明星王宝强遇见天王刘德华,华仔真是给足了面子_哔哩哔哩_bili
阻碍cncs的大恶人找到了,辣就是csgo大主播茄子!
白蛇传(中华人文传承故事系列彩绘版)
高品质最新童装卡通印花图案矢量可编辑素材熊猫小狗恐龙可爱-淘宝网
macys的圣诞ornament超级好看
虎尾兰
手工(一)骰子
李宁驭帅11打球好不好 驭帅11完整实战测评