图知网
搜索
首页
热门推荐
图片分类
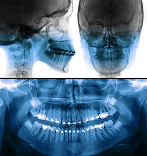
牙片一般分为全景片(也叫曲面断层)和根尖片,有些特殊的情况还需要拍
下载原图
相关图片
口腔全景片牙片,全景片牙科-图片大观-奇异网
医生看到我的牙片沉默了并叫我好好爱护牙齿
牙片详解,教你看懂牙片!_口腔_牙齿_全景
全景,牙齿,x光片_高清图片_全景视觉
今天下午去口腔医院拍了全景牙片,重新做了检查,医生说有点欠充,按压
牙片怎么拍什么情况下医生会建议拍
为你推荐
《赌神》《秋天的童话》"没有她在身边我会死,什么都不想做!
2000年中国人均gdp为美国的264日本的249如今呢
如果看不懂,说明你也是正常的. 所以跟老师学习乐理很重要.
植物元素缺乏症图示看图判断你的植物缺什么元素
百变大咖秀2021剧照
8*4.8角线桑拿板阴角线边线木线条封边条装饰条柜顶线门头线
童心抗疫 同心抗疫——中小学生战疫主题绘画大赛结果出炉!
天骄幼儿园美术班第十一周—吹画病毒小怪兽