图知网
搜索
首页
热门推荐
图片分类
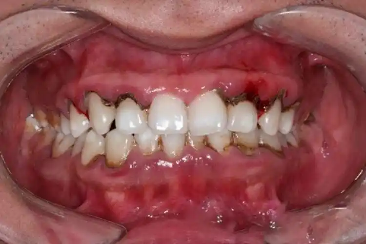
牙周炎图片_牙周炎症状表现图片大全_有来医生
下载原图
相关图片
牙周炎能治好吗 牙周炎的症状表现大科普!
你知道牙周炎有哪些症状吗?
牙周病的早期症状不明显,不易引起重视,患者常只有激发生性牙龈出血或
牙周炎的早期症状
大埔区牙周炎专家_大埔区治疗牙周炎哪个专家好_大埔区治疗牙周炎最好
医源性牙周病表现在哪几个方面
为你推荐
在三亚旅游,比较懒的宝宝可以 - 抖音
电脑壁纸 明星 大陆明星 赵今麦清新迷人写真
立体素描图(20张)
霸气文字群头像图片大全点击鼠标右键下载
美文美图心情美美
com/images/fotolife/l/loveteam10/20130608/20130608131023.png
儿童绘画手图片
中国风书法姓氏头像图片大全