图知网
搜索
首页
热门推荐
图片分类
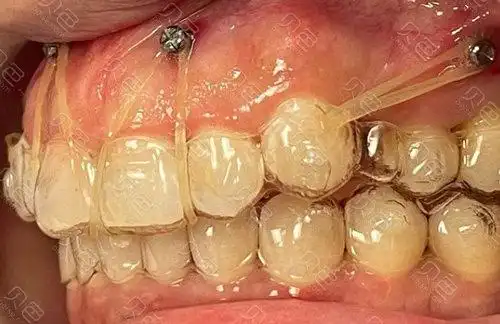
被支抗钉折磨_牙套_骨钉_支抗钉_美妆_医美整形
下载原图
相关图片
为什么正畸医师要让你打支抗钉戴牙套打骨钉痛吗
牙套骨钉
戴牙套打疼吗?支抗钉取出后有洞吗
网上透明牙套真的可以矫正吗千万不要轻易尝试
戴牙套,为什么要打骨钉?痛不痛?
牙系带钉·非常低调的微笑钉
为你推荐
羽毛球 #打羽毛球女生 #女双 #比赛现场 #多巴胺 结 - 抖音
波形运动 1草飘 2羽毛 3旗飘 "s"形运动 1鱼蛇 2尾巴 曲线运动的
身高163的女生体重120斤真的很胖吗?
11月7日最新温馨早安祝福图片带字,群发暖心的问候祝福语大全
袁松年 松荫读书
不是花火呀ta原版c调弹唱高清图片吉他谱
豆记酸梅汤.玄风桥里的宝藏小店来探一探,饭后吨吨吨真爽!一大 - 抖音
门套材质有哪些 室内门套标准尺寸是多少