图知网
搜索
首页
热门推荐
图片分类
立方体积木小方块正方形积木块儿童益智玩具幼儿园正方体数学教具
下载原图
相关图片
正方体拼搭积木小学生数学教具增高垫床脚茶几沙发垫手工模型方块
每一块连续相邻四个面分别印有红,黄,蓝,绿四种颜色的星星,正方形和圆
正方体积木数学教具小学木制小方块拼搭立体几何模型儿童动手动脑智力
正方体积木数学教具木制立方形小方块拼搭积木幼儿园儿童玩具
折纸教程,趣味拼图方块的折叠方法!
蒙氏教具木制彩色魔方立方体实木小方块拼搭立体几何益智数学教具
为你推荐
胡歌##什么脸可以叫初恋脸
微信二维码.jpg
金帝娱乐园
少儿舞蹈基本功示例图,赶紧收藏!
湖面冰裂纹!
老舅把厨房盖在院子里,我们都当看笑话,没想到弄好后妥妥多间房
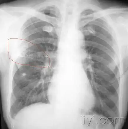
右肺蜂窝影