图知网
搜索
首页
热门推荐
图片分类
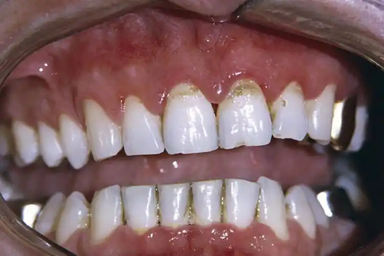
染色后的牙菌斑 图片来源:作者提供 然后我对着镜子,用其中一种月子
下载原图
相关图片
有了氟斑牙怎么办
牙齿上牙菌斑图
牙齿没有光泽,牙菌斑多,看看吧
牙菌斑牙齿图片33
牙菌斑图片
牙菌斑牙齿图片33
为你推荐
青春期少女内衣发育期小背心女学生小学初中生女孩女童大童少女文胸2
迪丽热巴抹胸镶钻黑丝绒礼服
nba投篮篮球
张国立二婚妻子原来是"王熙凤"!65岁的她脸上无皱纹,气质优雅
中国已被赌场包围全球赌场为中国人开
(辉)fate/grand order&幽冥国度之王-斯卡哈 (二百二十三)
人得了一期梅毒怎么办图片
苹果数据线测评:苹果原装不如卓连这款10元的