图知网
搜索
首页
热门推荐
图片分类
10日1城,巴黎,你是我所有的梦(300张美图!
下载原图
相关图片
巴黎埃菲尔铁塔 壁纸 - 1920x1080
10日1城,巴黎,你是我所有的梦(300张美图!
は蛋|巴黎圣母院
10日1城,巴黎,你是我所有的梦(300张美图!
10日1城,巴黎,你是我所有的梦(300张美图!
巴黎
为你推荐
0001 丁丑(1937年)作 楷书心经 立轴 水墨纸本
卡通动漫人物竖中指头像 卡通头像图片大全 -【爱个性】
头像,大圣归来
小舞
马迹塘镇新苗幼儿园〗母亲节"感恩父母"主题活动!
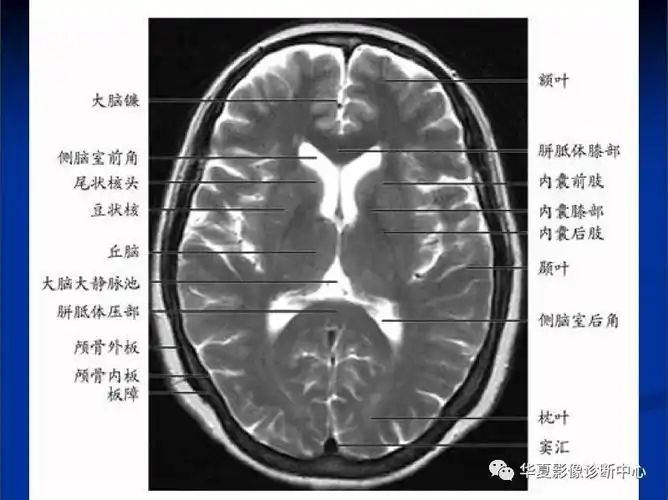
磁共振读片基础初学者看过来
凌晨下火车为啥有人宁愿去洗浴中心也不住酒店原因很真实
ingredient iq: cauliflower