图知网
搜索
首页
热门推荐
图片分类
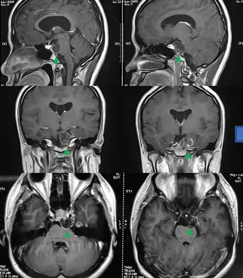
垂体肿瘤压迫视神经导致双眼近乎失明,鼻内镜下微创切除后视力恢复
下载原图
相关图片
垂体瘤微创手术治疗之经鼻手术_垂体瘤_垂体瘤治疗方式 - 好大夫在线
无故头痛眼花,当心垂体瘤!
并有所加重,视力也急剧下降,还出现呕吐,外院颅脑ct提示垂体瘤,患者即
垂体磁共振影像解剖
北京三博脑科医院宋明主任医师及李建军副主任医师 行内镜下经蝶垂体
脑垂体的核磁共振检查结果请分析
为你推荐
tvb40年十大美丽花旦--郑裕玲
还没翻红就翻车了,这5位"浪姐",求求别再作妖了|谢娜|吴倩|陈意涵
点击查看更多订阅内容> 朴孝敏 ,韩国女子演唱团体t-ara成员之一,身高
李仙
指纹锁售后维修
说不清这段时间是什么状态,只觉得做什么都很疲惫
星光点点
儿童多功能组合上下床双层子母床错层高低床交错式小户型成套家具